We welcome you to browse our Gallery to view examples of the excellent dental care provided by our skilled Hagerstown, Maryland dentist, Dr. Eklund. We are committed to providing high-quality dentistry to meet all of your dental needs and goals. To learn more about our dental treatments and to schedule your consultation, we invite you to contact us today at Potomac Dental Centre. We are eager to care for you.
Full-Mouth Implant Supported Bridge

Before

After
Full-Mouth Implant Supported Bridge

Before

After
Full-Mouth Implant Supported Bridge

Before

After
Crowns

Before

After
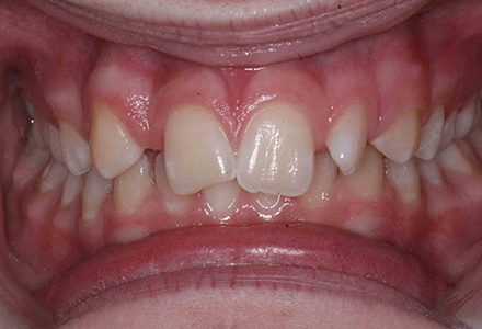
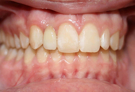
Veneers

Before

After
3 Teeth Replaced with Implants

Before

After
Single Mini Dental Implant

Before

After
Single Tooth Replacement With Mini Implant

Before

After
Full Arch Implant Supported Bridge

Before

After
Multiple mini dental implants

Before

After







